Legal
#BrainOn
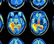
Nuestros cerebros recuerdan las cosas según la forma en que las aprendemos
Investigadores de la Universidad de Oxford han descubierto que el conocimiento aprendido se almacena en [...]
Blogs de Educación Especializada
El Slime y como jugar con niños con problemas de motricidad menuda
Pilar García de la Granja El slime se ha puesto de moda en Estados Unidos. Es una de esas modas que surgen y se expanden por el mundo como la pólvora. Mas ahora con las redes sociales. Mi hija Maria es experta en hacer slime “casero”. Maria es experta también en ayudar a su hermano a trabajar con el slime. En España lo llamaríamos plastilina “suave”, perfecta para mover los dedos y fortalecer las manos. Es una actividad fácil, relativamente limpia y sobre todo buenísima para los peques con problemas de movilidad manual. Objetivos: 1.- Mover los dedos y las manos de una forma sencilla y divertida. 2.- Hacer la actividad dos veces al día, o cuando el peque necesite relajarse 3.- Buscar la conversación con palabras clave: duro, suave, con grumos, con bolitas, sin bolas, ruido, limpiar los dedos, estirar, hacer una bola.
Beneficios del yoga en niños con necesidades especiales.
Nadia Cristóbal Antes de empezar a hablar de los beneficios del yoga como tal, es necesario saber por qué el yoga, y por qué no cualquier otro tipo de ejercicio.














